Image of CABP Patient 2

CABP patient with CKD, discharged on oral NUZYRA

Actor portrayal.

Back to Case Studies

Clinically cured* with a single IV-to-oral course of treatment—no hospital readmission required1

*Clinical cure at the post-treatment evaluation was defined as survival after completion of study treatment without receiving any other antibacterial therapy or unplanned major surgical intervention, and having sufficient resolution of infection such that further antibacterial therapy is not needed.2

Before & After

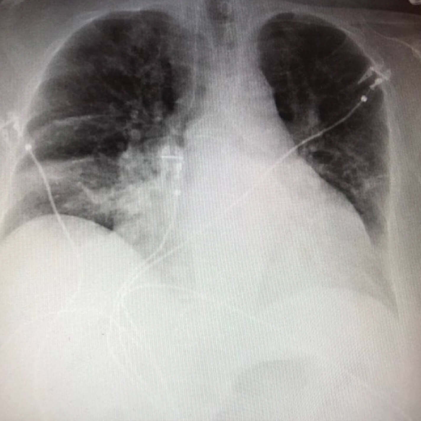
Initial chest x-ray

Before image of an initial chest x-ray.

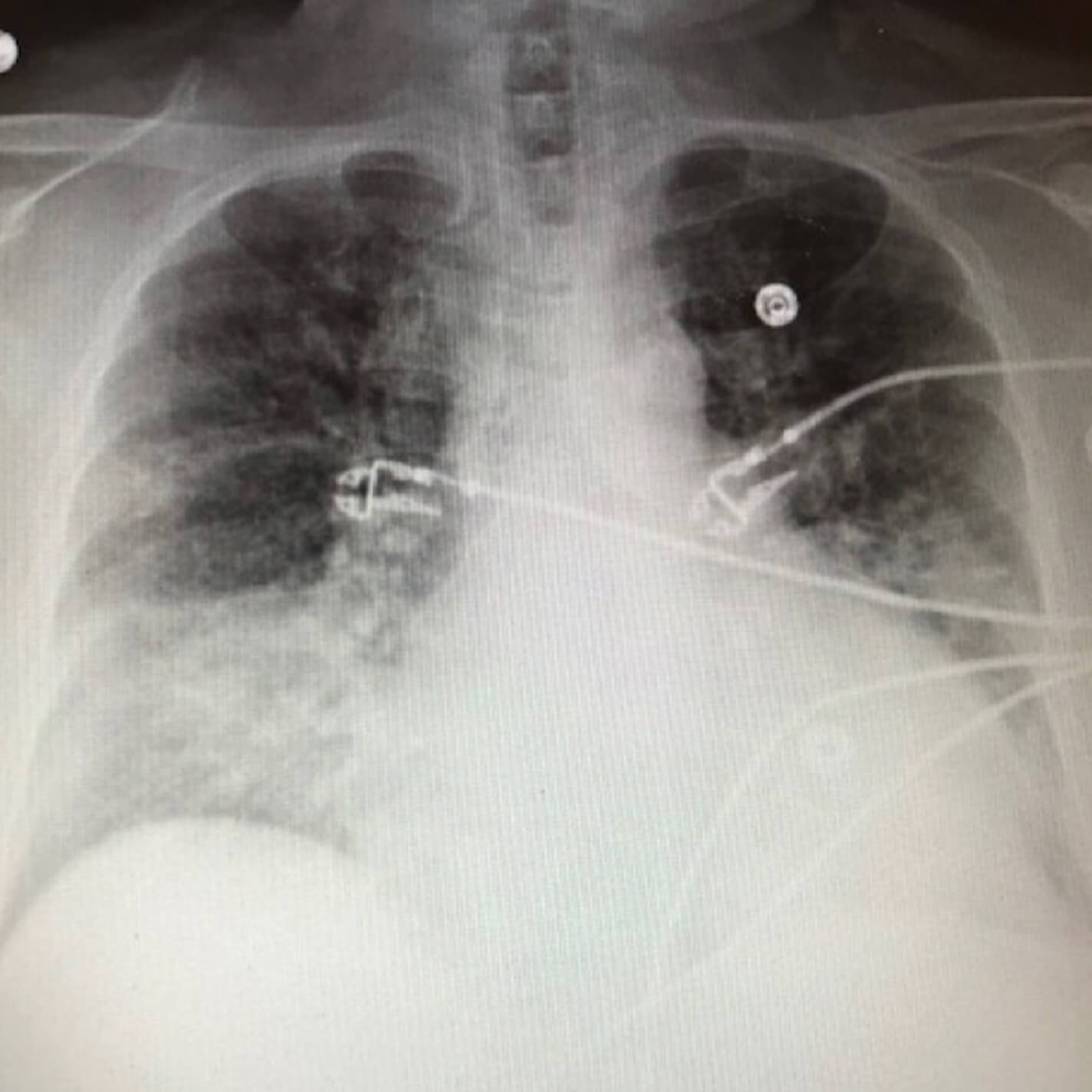
Follow-up chest x-ray (after 28 days)

After image of a follow-up chest x-ray (after 28 days)

Patient Overview

68-year-old female with 2-day history of cough and shortness of breath

  • Chest x-ray revealed bibasilar opacities with L>R concerning for pneumonia
  • Complicated comorbidities, including CKD (stage 4) and type 2 diabetes
  • Multiple medications with drug-drug interactions considerations for an antibiotic
  • Discharged from hospital with use of oral NUZYRA

Clinical Course

Day
1

Admitted to ED and given a dose of levofloxacin IV following blood culture. Then switched to piperacillin and tazobactam for broader coverage in case of aspiration pneumonia

Day
3

Despite hospital convalescence, patient was extremely weak and O2 requirement at 3-4 L/min

Day
4

Appreciable improvement in respiratory status and equivocal chest x-ray; decision made to continue treatment of bacterial pneumonia. Patient given NUZYRA 300 mg loading dose twice daily

Day
5

Discharged from hospital to skilled nursing facility with oral NUZYRA 300 mg once daily (to complete 7 days of treatment)
See additional medical findings

Laboratory findings1

  • Blood cultures obtained before starting on levofloxacin IV
  • Creatinine 3.3 (baseline 2.8)
  • Procalcitonin
  • Respiratory viral panel

Physical findings1

  • Shortness of breath
  • Cough
  • Chest X-ray revealed bibasilar opacities with L>R concerning for pneumonia
CKD=chronic kidney disease; ED=emergency department; IV=intravenous; L>R=left greater than right.

This case study reflects a real patient experience using NUZYRA. The results presented are consistent with those observed in the OPTIC clinical trial in patients with CABP. Individual results may vary.

Back to Case Studies
IMPORTANT SAFETY INFORMATION

INDICATIONS and USAGE

NUZYRA® (omadacycline) is a tetracycline-class antibacterial indicated for the treatment of adult patients with the following infections caused by susceptible microorganisms:

Community-Acquired Bacterial Pneumonia (CABP) caused by the following: Streptococcus pneumoniae, Staphylococcus aureus (methicillin-susceptible isolates), Haemophilus influenzae, Haemophilus parainfluenzae, Klebsiella pneumoniae, Legionella pneumophila, Mycoplasma pneumoniae, and Chlamydophila pneumoniae.

Acute Bacterial Skin and Skin Structure Infections (ABSSSI) caused by the following: Staphylococcus aureus (methicillin-susceptible and -resistant isolates), Staphylococcus lugdunensis, Streptococcus pyogenes, Streptococcus anginosus grp. (includes S. anginosus, S. intermedius, and S. constellatus), Enterococcus faecalis, Enterobacter cloacae, and Klebsiella pneumoniae.

USAGE

To reduce the development of drug-resistant bacteria and maintain the effectiveness of NUZYRA and other antibacterial drugs, NUZYRA should be used only to treat or prevent infections that are proven or strongly suspected to be caused by susceptible bacteria.

IMPORTANT SAFETY INFORMATION

CONTRAINDICATIONS

NUZYRA is contraindicated in patients with known hypersensitivity to omadacycline or tetracycline-class antibacterial drugs, or to any of the excipients.

WARNINGS AND PRECAUTIONS

Mortality imbalance was observed in the CABP clinical trial with eight deaths (2%) occurring in patients treated with NUZYRA compared to four deaths (1%) in patients treated with moxifloxacin. The cause of the mortality imbalance has not been established. All deaths, in both treatment arms, occurred in patients >65 years of age; most patients had multiple comorbidities. The causes of death varied and included worsening and/or complications of infection and underlying conditions. Closely monitor clinical response to therapy in CABP patients, particularly in those at higher risk for mortality.

The use of NUZYRA during tooth development (last half of pregnancy, infancy and childhood to the age of 8 years) may cause permanent discoloration of the teeth (yellow-gray-brown) and enamel hypoplasia.

The use of NUZYRA during the second and third trimester of pregnancy, infancy and childhood up to the age of 8 years may cause reversible inhibition of bone growth.

Hypersensitivity reactions have been reported with NUZYRA. Life-threatening hypersensitivity (anaphylactic) reactions have been reported with other tetracycline-class antibacterial drugs. NUZYRA is structurally similar to other tetracycline-class antibacterial drugs and is contraindicated in patients with known hypersensitivity to tetracycline-class antibacterial drugs. Discontinue NUZYRA if an allergic reaction occurs.

Clostridioides difficile-associated diarrhea (CDAD) has been reported with use of nearly all antibacterial agents and may range in severity from mild diarrhea to fatal colitis. Evaluate if diarrhea occurs.

NUZYRA is structurally similar to tetracycline-class antibacterial drugs and may have similar adverse reactions. Adverse reactions, including photosensitivity, fixed drug eruption, pseudotumor cerebri, and anti-anabolic action (which has led to increased BUN, azotemia, acidosis, hyperphosphatemia, pancreatitis, and abnormal liver function tests), have been reported for other tetracycline-class antibacterial drugs, and may occur with NUZYRA. Discontinue NUZYRA if any of these adverse reactions are suspected.

Prescribing NUZYRA in the absence of a proven or strongly suspected bacterial infection is unlikely to provide benefit to the patient and increases the risk of the development of drug-resistant bacteria.

ADVERSE REACTIONS

The most common adverse reactions (incidence ≥2%) are nausea, vomiting, infusion site reactions, alanine aminotransferase increased, aspartate aminotransferase increased, gamma-glutamyl transferase increased, hypertension, headache, diarrhea, insomnia, and constipation.

DRUG INTERACTIONS

Patients who are on anticoagulant therapy may require downward adjustment of their anticoagulant dosage while taking NUZYRA.

Absorption of tetracyclines, including NUZYRA is impaired by antacids containing aluminum, calcium, or magnesium, bismuth subsalicylate and iron containing preparations.

USE IN SPECIFIC POPULATIONS

Lactation: Breastfeeding is not recommended during treatment with NUZYRA.

Please see full Prescribing Information for NUZYRA.

References: 1. Data on file. Paratek Pharmaceuticals, Inc. 2. NUZYRA [Prescribing Information]. Paratek Pharmaceuticals, Inc.